Aiia subastas
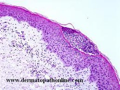
The epidermal thickness is normal figure . So anytime you see acanthosis parakeratosis some degree of psoriatic epidermal hyperplasia with inflammation have think the conditions that are part PMs PETAL and then look for characteristic histological features each mnemonic try either count them out [...]
